80 лет Великой Победе!
svaomos.news
ОБЩЕСТВО
ЖКХ
БЕЗОПАСНОСТЬ
ВЛАСТЬ
СТРОИТЕЛЬСТВО
ТРАНСПОРТ
КУЛЬТУРА
ЭКОНОМИКА И БИЗНЕС
ОБЩЕСТВО
Прокуратура Южной Кореи решила освободить президента Юн Сок Еля
8 марта 2025
Киностудия Горького выпустила фильмы, посвященные ярким и талантливым женщинам
8 марта 2025
Произошедшее в Армении землетрясение ощущалось в Грузии
8 марта 2025
Трамваи шести маршрутов задерживаются на Краснопрудной улице
8 марта 2025
Дублирующую подсветку установят на светофорах столицы по 38 адресам
8 марта 2025
Сервис Russpass подготовил тематические экскурсии к 8 Марта
8 марта 2025
Беспилотники пытались атаковать завод КИНЕФ в Ленинградской области
8 марта 2025
Ограничения вводились на прием и выпуск воздушных судов в аэропорту Петербурга
8 марта 2025
134 мирных жителя погибли в боестолкновениях в Сирии – СМИ
8 марта 2025
Россия готова обсудить временное перемирие на Украине – СМИ
8 марта 2025
Трамп заявил о хорошем прогрессе в переговорах по украинскому урегулированию
7 марта 2025
Танкер и контейнеровоз столкнулись у берегов Стамбула – СМИ
7 марта 2025
Вечером пятницы над регионами РФ сбиты 43 украинских БПЛА
7 марта 2025
ВСУ нанесли удар 6 реактивными БПЛА по территории Брянской области
7 марта 2025
Ограничения введены в аэропорту Саратова
7 марта 2025
В России могут оптимизировать получение СНИЛС иностранцами
7 марта 2025
Возможности США по введению новых санкций против РФ не исчерпаны – Белый дом
7 марта 2025
Трамп заявил, что США остановили начавшийся при Байдене обвал производства
7 марта 2025
Жительница Нефтегорска рассказала об обрушении трибун в цирке
7 марта 2025
Блогер Митрошина могла уклониться от налогов на сумму 127 млн руб
7 марта 2025
Число пострадавших при обрушении трибун цирка в Нефтегорске выросло до 8
7 марта 2025
Уголовное дело возбуждено после обрушения трибун в цирке Нефтегорска
7 марта 2025
Цены на шесть жизненно необходимых лекарств снижены в РФ
7 марта 2025
Москвичей предупредили о сильном похолодании 17 марта
7 марта 2025
Трюдо заплакал на своей последней пресс-конференции перед отставкой
7 марта 2025
Генпрокуратура России признала нежелательной деятельность латвийской НПО АРЭМ
7 марта 2025
Четыре автомобиля столкнулись на Варшавском шоссе в Москве
7 марта 2025
Состояние пострадавшего от укусов собак мальчика в Сочи улучшилось
7 марта 2025
Житель Приморья открыл стрельбу с балкона из-за шпица
7 марта 2025
Российская противогриппозная вакцина ВГИР получила статус преквалификации ВОЗ
7 марта 2025
Трамп предложил лидеру Ирана заключить сделку по ядерной программе республики
7 марта 2025
Российский посол назвал неприемлемым создание британских баз на Украине
7 марта 2025
Четвертая Московская неделя моды пройдет с 13 по 18 марта
7 марта 2025
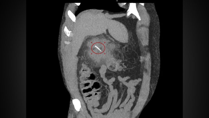
Подмосковные врачи спасли мужчину, которому рыбья кость проткнула кишечник
7 марта 2025
7 марта в Москве стало самым теплым днем с начала года
7 марта 2025
Пекин и Киев подписали протоколы о поставках украинской сельхозпродукции в Китай
7 марта 2025
Столичные спасатели поймали змею в лифте жилого дома в Черемушках
7 марта 2025
Москвичей призвали выезжать до часа пик или отложить поездки из-за короткого рабочего дня
7 марта 2025
Режим повышенной готовности введен в Ростовской области из-за угрозы ЧС
7 марта 2025
210
211
212
213
214